Deprecated: Function WP_Dependencies->add_data() was called with an argument that is deprecated since version 6.9.0! IE conditional comments are ignored by all supported browsers. in /home/rjdesig1/staging.rjdesignworld.com/wp-includes/functions.php on line 6131
Full Mouth Reconstruction - GuelphView Dental
Email Us :

Info@guelphviewdental.com

Office Hours:

Mon - Sat: 9 -7 | Sun: Closed

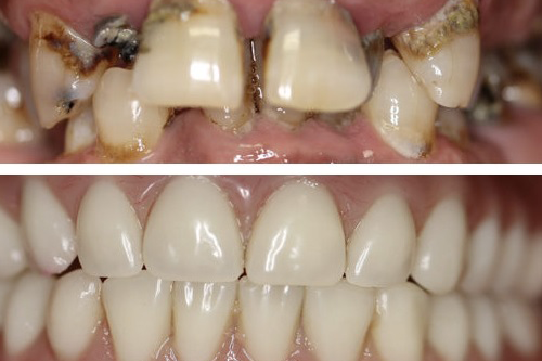
Full Mouth Reconstruction

Guelphview Dental’s Full Mouth Reconstruction is the ultimate solution for those seeking to rebuild their smile from the ground up. Our team of skilled specialists will work closely with you to develop a personalized treatment plan that addresses all your dental concerns, whether it’s missing teeth, extensive decay, or misalignment. With the latest advancements in restorative dentistry, we’ll not only revive the function and appearance of your teeth but also improve your overall oral health and well-being. Imagine a smile that boosts your self-esteem and allows you to enjoy life to the fullest – that’s the power of our Full Mouth Reconstruction.